Veneers Lumineers
Hide Flaws, Fix Chips
Do you hold back from smiling because you’re embarrassed about the appearance of your teeth? Your smile is a natural and unique part of who you are, but if you dislike how yours looks, it can significantly impact your self-confidence. To help you regain confidence in your smile and yourself, we offer porcelain veneers in Richmond, TX a cosmetic dentistry treatment that hides tooth imperfections such as chips, gaps, discoloration, or crookedness. Our cosmetic dentist at Sapphire Family Dentistry is experienced in the artistic and technical aspects of these custom smile makeovers and can create your dream smile in as few as two appointments with porcelain veneers!

Our Patients Tell The Story Best
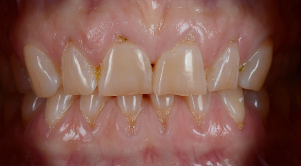
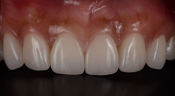
Hector – Veneers and Lumineers

Candidates For Porcelain Veneers
Virtually all patients with cosmetic problems are candidates for dental veneers if they are in good oral health. As a cosmetic dentistry treatment, veneers aren’t meant to resolve functional issues with teeth, such as a bad bite (malocclusion). Instead, they can be a great option if you have the following issues in your smile zone, or the teeth that show when you smile:
- Chipped teeth
- Cracked teeth
- Gapped teeth
- Crowded teeth
- Malformed teeth
- Crooked teeth
- Discolored teeth
- Worn-down teeth
Our Custom Treatment Process
Porcelain veneers treatment is a highly personalized and detailed process at our Richmond, TX practice. To provide the greatest aesthetics, veneers must both hide problem teeth and provide the appearance of a new smile that looks and feels completely natural. During your first appointment, our cosmetic dentist will remove a few millimeters of the front surface of your tooth enamel. This ensures that your custom dental veneers fit naturally and comfortably over your existing teeth. Next, we’ll take impressions of your modified teeth, which will be used to hand-design your veneers to the most ideal size, shape, and color for a beautiful new smile. Porcelain veneers treatment is a highly personalized and detailed process at our Richmond, TX practice. To provide the greatest aesthetics, veneers must both hide problem teeth and provide the appearance of a new smile that looks and feels completely natural. During your first appointment, our cosmetic dentist will remove a few millimeters of the front surface of your tooth enamel. This ensures that your custom dental veneers fit naturally and comfortably over your existing teeth. Next, we’ll take impressions of your modified teeth, which will be used to hand-design your veneers to the most ideal size, shape, and color for a beautiful new smile.


